Tại Toronto, một phụ nữ 30 tuổi sống sót nhờ bộ ngực silicon cấy ghép, sau khi bị bắn thẳng vào tim, theo Gizmodo. Viên đạn đã bắn vào cô gái khi cô đi dọc theo đường phố, và tất cả những gì người phụ nữ cảm thấy là sức nóng và sự đau đớn ở ngực trái. Cô nhìn xuống, thấy máu đang chảy ra từ cơ thể. Người phụ nữ đến phòng cấp cứu địa phương và phát hiện mình đã bị đạn bắn.
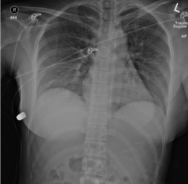
Các bác sĩ tìm thấy một vết đạn ngay bên trên vú trái và tìm thấy một viên đạn mắc kẹt trong cơ thể, dưới vú phải. Cô gái cảm thấy tình trạng cơ thể tốt một cách đáng ngạc nhiên, với vết thương như vậy.
Để loại bỏ viên đạn, các bác sĩ đã phải tháo cả hai miếng chèn silicon ra khỏi ngực bệnh nhân. Họ thấy kinh ngạc: các bác sĩ nhận ra viên đạn đã bị thay đổi đường đi để không bắn thẳng vào tim. Sau va chạm, viên đạn chuyển hướng đến đúng miếng silicon, xuyên vào ngực và bị mắc kẹt trong đó. Dấu vết của đạn được lưu giữ trong túi silicon cấy ghép.

Cảnh sát Canada không thể tìm ra ai là người nổ súng, cũng như vũ khí mà từ đó bắn vào người phụ nữ.


