"Đây là tình trạng viêm rất nặng, chúng ta có thể nói rằng đó là viêm phổi” - ông Kirill Zykov nói.
Theo chuyên gia này, sau khi bị nhiễm bệnh, về mặt lý thuyết phổi có thể bị ảnh hưởng bởi một số hiện tượng còn lại. Chúng ta sẽ biết về điều này sau khi công bố dữ liệu của các chuyên gia nước ngoài từ các quốc gia đã bị làn sóng đại dịch tràn qua trước đó.
"Có lo ngại rằng có thể sẽ có những thay đổi đáng kể về xơ hóa," ông Zykov nói.
Theo WHO, trên thế giới ghi nhận gần ba triệu trường hợp nhiễm coronavirus, hơn 204 nghìn người đã chết. Tại Nga, COVID-19 được chẩn đoán ở 99 399 người, 972 bệnh nhân tử vong vì căn bệnh này, 10286 người đã hồi phục.
Tại sao phải tuân thủ cách ly?
Cách ly không thể ngăn chặn hoàn toàn coronavirus, nhưng cần cách ly để nâng cao tiềm lực của hệ thống y tế, bà Elena Malinnikova, chuyên gia về bệnh truyền nhiễm của Bộ Y tế Nga cho biết.

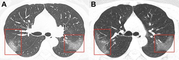
Ảnh chụp lá phổi bị ảnh hưởng bởi coronavirus
"Cách ly tự mình không thể ngăn chặn hoàn toàn virus, trước hết, cách ly phải được sử dụng để thực hiện các biện pháp tối đa có thể tăng cường năng lực chăm sóc sức khỏe nhằm ngăn ngừa quá tải cho các tổ chức y tế trong trường hợp tỷ lệ mắc bệnh có thể gia tăng", bà Malinnikova nói.

Chẳng thể «tay không bắt giặc» Covid-19: Coronavirus sợ cái gì?
© Sputnik



